
A gyermek arra panaszkodott, hogy bal szemével nem lát rendesen, így a szülei végül szemészhez vitték. A szakértők vizsgálata azt mutatta, hogy míg a jobb szem látásélessége 20/20-as értéket kapott, ugyanez a bal szem esetében csak 20/100 volt.
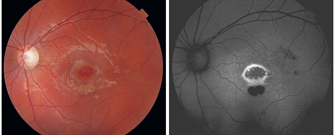
A tüzetesebb vizsgálat során kiderült, hogy a lézermutatóval a fiú egy hatalmas lyukat égetett a makulájába, vagyis a szem éleslátásért, valamint színek észleléséért felelős területébe.A lyuktól nem messze ráadásul két további sérülést is észrevettek a szemészek.
Veszélyes „játékszerek"
A lézermutatók okozta retinasérülések nem számítanak ritkának, mindenféleképpen veszélyes eszközökről beszélhetünk. 2012-ben például esettanulmány született arról, hogy egy 5 mW-os lézerpointerrel komoly sérüléseket okoztak egy 13 éves fiú látószerveiben. Bár a tinédzser rendbejött, sorstársa már nem volt ilyen szerencsés: a szintén 13 éves gyereknek az öccse világított a szemébe egy 50 mW-os lézermutatóval. A szembe villantás csupán egyetlen másodpercig tartott, az áldozatnak mégis gyógyíthatatlan látássérülése lett.

A mostani esetnél nem tudni, milyen erősségű lézert használt a sérült, csupán az biztos, hogy az apa egy utcai árusnál vette a készüléket. Könnyen elképzelhető tehát, hogy nem a valós teljesítmény szerepelt a termék csomagolásán.
Sajnos a lyuk olyan nagy, hogy műtéttel sem hozható helyre.A The New England Journal of Medicine című orvosi szakfolyóiratban közölt cikk szerint a beteg bal szemének látóképessége 18 hónappal a baleset után is változatlan maradt – írja a Science Alert.